広島市中区の歯医者|補綴専門医による歯並びの治療と、審美、矯正

初診の方は電話でのご予約をお勧めします TEL.082-245-5118

〒730-0051 広島市中区大手町2丁目7−26

歯並び 矯正

◎補綴による歯列矯正
前歯数本に限局した歯列不整の場合、
補綴によって歯列修正が可能な場合
があります。

○メリット
通常の歯科矯正では、成人で歯周病傾向のある方は歯の動揺が増悪する
ケースがあるので注意が必要です。
補綴による歯列修正はその心配はほとんどありません。
症例によっては、固定できるのでより動揺を防止できる場合もあり、
歯列不整の後戻りの予防にもなります。
期間が短く済み、費用も比較的安くできることも挙げられます。
 
△デメリット
歯を削る必要があることです。
対象の歯が虫歯で、すでに充填や補綴されている場合はそれほどデメリット
にならない場合もあります。
  

◎一般的な矯正
 
歯列全体に不整がある場合は矯正治療が基本になります。
当クリニックでは現在矯正治療は行っておりません。
 信頼できる矯正専門医を御紹介させていただいております。
 いずれの場合も症例によって適否がありますので、お口の状態を確認して相談させて頂くことになります

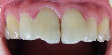
歯並び 治療例 補綴による歯並び治療の例

補綴による矯正@

前歯二本の歯並びを
セラミック前装冠にて
補綴

このケースは自費治療です
1歯あたり85000円(税込)
前歯の前突の治療前 補綴による歯並び治療後

補綴による矯正A

前歯の離開・前突を
セラミック前装冠にて
補綴

このケースは自費治療です。
1歯あたり85000円(税込)

広島市中区大手町2丁目の
大谷歯科クリニック

〒730-0051
広島市中区大手町2丁目7−26
TEL 082-245-5118